
在癌症治疗领域,一个常被忽略的真相是:
绝大多数癌症死亡并非源于原位肿瘤,而是由于复发与转移。数据显示,高达90%的癌症相关死亡与肿瘤扩散有关。即便手术成功切除肉眼可见的病灶,残留的微小癌细胞仍可能潜伏体内,在免疫系统薄弱时“死灰复燃”。为此,医学界正将目光投向一种创新性辅助策略——术后靶向免疫细胞疗法,旨在从根源上强化机体防御,降低复发风险。

一、复发转移:
癌症治疗后的“隐匿威胁”
肿瘤复发指经治疗消退后,休眠癌细胞再次活跃增殖。其诱因复杂,主要包括:

临床数据显示,术后2年内为复发高峰期,总体复发率可达约80%,即便完成常规辅助治疗,仍有患者面临亚临床转移风险。
二、术后免疫低谷:
复发风险的“加速窗口”
因此,在术后免疫系统最脆弱的阶段进行主动干预,成为预防复发的关键思路。
三、免疫细胞疗法:
从“对抗肿瘤”到“重建免疫”
与传统治疗直接杀伤癌细胞不同,免疫细胞疗法的核心在于 激活并增强人体自身免疫系统,使其持续识别、清除残存癌细胞。该方法被视为癌症治疗的“第四支柱”,尤其适用于术后辅助阶段,其优势在于:

目前临床上常用的免疫细胞类型包括:
四、临床证据:
免疫细胞疗法显著降低复发风险
多项研究为术后免疫细胞治疗的防复发效果提供了循证支持:
1.非小细胞肺癌
一项纳入4项RCT(共472例)的Meta分析显示,术后补充LAK/NK/CIK等免疫细胞,患者死亡风险降低39%。德国Ⅱ期临床也证实,输注激活型自体NK细胞可使1年无进展生存率提升一倍。

2.结直肠癌
2020年发表于《Oncoimmunology》的前瞻性研究显示,术后接受4–6次CIK细胞输注的患者,总生存与无病生存风险下降约60%,其中T4分期高危患者获益尤为显著。

3.肝癌
2017年一项涵盖742例患者的Meta分析指出,术后或介入治疗后联合CIK细胞治疗,可使肝癌复发风险降低37%。该结果已获韩国肝癌诊疗指南列为Ⅱ级推荐。

4.乳腺癌
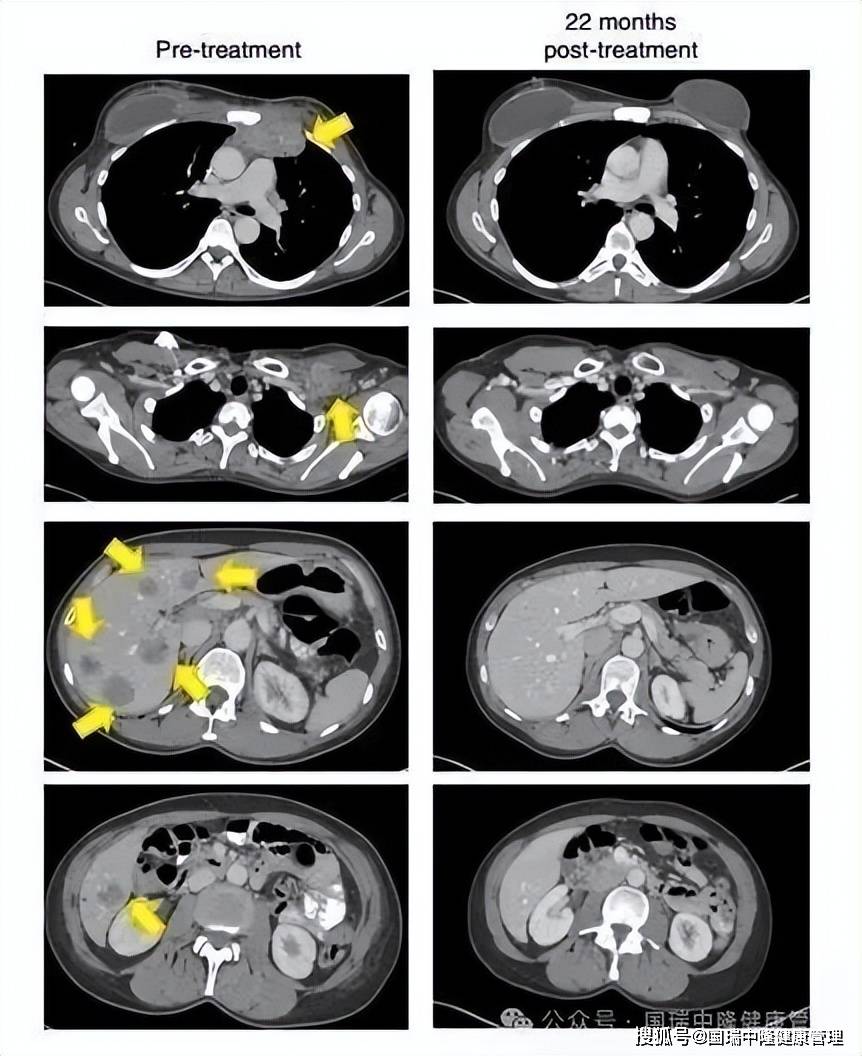
个案研究显示,晚期转移性乳腺癌患者经免疫细胞治疗后可实现肿瘤完全消退。国内团队也报道了DC-NKT/CTL方案帮助乳腺癌术后患者平稳度过5年复发高危期、实现临床痊愈的案例。


▲22个月后,这名患者的肿瘤(黄色箭头)消失得无影无踪
五、治疗时机与适用人群:
抓住术后“黄金100天”

六、康复整合:
免疫细胞与营养支持并重
术后康复不仅是伤口愈合,更是系统性重建。除了免疫细胞补充,强化营养支持同样至关重要:
结语
JIE YU
在癌症治疗从“切除肿瘤”迈向“全程管理”的今天,术后免疫细胞疗法为代表的新型生物治疗,正为防复发策略提供关键支持。临床证据表明,该疗法可显著降低复发风险、延长无病生存期,且安全性良好。对于术后处于免疫低谷的患者而言,在专业医师指导下,于黄金窗口期引入免疫细胞增强方案,无异于为康复之路筑起一道动态生物防线。

END
关于我们
国瑞中隆健康管理公司是国家人类基因北方研究中心联合实验室(安徽中心)和中科院赛尔生物技术转化平台的运营机构,国家人类基因再生医学研究中心由卫生部牵头组建,联合北大、清华、中科院、军事科学院、协和、阜外、医科院、301等医学研究机构共同开展人类基因再生医学研究。学术委员会有7位院士(强伯勤、沈岩、吴旻、贺福初等)和众多学科带头人及再生医学专家,并于国内外多家医学研究中心、实验室联盟(如诺奖工作站、美国纳米医学科学院、中日细胞联合研究中心、中科院精准医学研究中心,解放军总医院等)开展学术研究工作,承担着国家级恶性肿瘤研究课题。技术产品覆盖整个再生医学领域(如传统MSC、NK、定制款CART/CIK/DC/CTL/TIL细胞、专病基因调控型细胞、外泌体护肤生发产品等)。产品均经过中检院及北京药检所严苛检测检验并出具相关报告。


【声明】本平台所发布的内容仅用于科普干细胞相关知识,分享行业最新动态,不能替代专业医疗建议。本文部分素材整理自网络,若涉及版权问题,请联系我们处理。